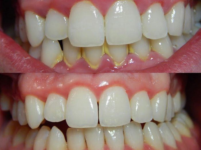
Gün içinde tükettiğimiz çay, kahve ve asitli içecekler ve pişmiş yiyeceklerin birçoğu, dişlerimizde tartar birikmesine sebep olur. Her ne kadar düzenli fırçalasanız da bazen bu lekelerden kurtulmak oldukça zorlayıcı olabilir. Hatta günümüzde birçok insan dişçiye sadece bu sebeple gidiyor. Bu içeriğimizde size dişçiye gitmeden kendi imkanlarınızla bu lekelerden nasıl kurtulacağınızı anlatıyoruz. Ancak eğer birikmiş bir tabaka mevcutsa, dişçinizin çok daha hızlı yöntemlerle bu lekelerden kurtulabileceğini söylemek zorundayız. Ayrıca eğer bu lekelerle yeteri kadar ilgilenmezseniz, çok daha ciddi diş sorunlarına yol açacağını hatırlatalım.

Tartar probleminden evinizde kurtulmak için ihtiyacınız olan malzemeler:
- Oksijenli su
- Su
- Karbonat
- Tuz
- Mikrop kırıcı ağız gargarası
- Dental Kürdan
- Diş fırçası

Hazırlanışı
Yarım bardak sıcak su ile bir bardak oksijenli suyu karıştırın ve bir dakika boyunca ağzınızı çalkalayın. Ardından yarım bardak oda sıcaklığındaki suyla durulayın. Tartar tabakasından kurtulmanın en etkili yolu karbonattır. Bir yemek kaşığı karbonat ile yarım çay kaşığı tuzu yarım bardak su içerisinde karıştırın ve dişlerinizi bu karışım ile fırçalayın. Dental kürdan kullanarak dişlerinizi nazikçe ovun ve zarar vermemeye dikkat edin.

Diş rengini ve sağlığını korumak için bu besinleri tüketin
İsviçre veya çedar peyniri tüketirseniz, dişlerinize zarar verecek olan asitleri engellersiniz. Özellikle yıllanmış peynirler daha faydalı olacaktır.
Çilek ve domates diş sağlığını koruyacak ve tartar oluşumunu engelleyecektir. İçeriklerindeki zengin C vitamini dişlerinizi beyazlatmada ve tartar yumuşatmada oldukça etkilidir. Direkt olarak dişlerinizi bu meyvelerle ovarak harika sonuçlar elde edebilirsiniz. Ovduktan sonra 5 dakika kadar bekletin ve ardından kabartma tozuyla hazırladığınız karışım ile durulayın. C vitamini zengini diğer meyve ve sebzeler ile de uygulayabilirsiniz. Limon, portakal, biber veya papaya gibi.

Ağız sağlığınızı korumak için yapabileceğiniz diğer işlemler
Düzenli olarak diş ipi kullanın.
Acı tüketerek salya üretimini arttırın ve ağzınızı daha temiz tutun.
Uyumadan önce ağzınızı portakal ile ovun ve bakteri oluşumunu engelleyin.
Dişinizi fırçalarken yumuşak bir fırça kullanın, nazik davranın ve dikey hareketler yapmaya özen gösterin. Diş aralarını ve diş etlerini temizlemeyi ihmal etmeyin.






Ben 77 yaşıma gireli 6 ay oldu.Annem1990da vefat etti.dişlerini karbonat ve tuz karışımıyla temizlerdi.ben de fırçam ysnımda olmadığı zaman bunu yapıyorum,.